??Không bao giờ là quá muộn để TÌM LẠI NỤ CƯỜI !
?Ở tuổi 87, với 6 stent đặt ở mạch vành, thật không quá nếu nói đây là một hành trình tìm lại nụ cười của ông N.X.Đ. Ông đến nha khoa khi răng đã được bọc sứ gần hết, 6 răng thật còn lại cũng bị hư hại nghiêm trọng.
??Ông đã làm răng sứ lại 3 lần, nhưng vẫn không ăn uống được, đau nhức, hôi miệng. Răng sứ cứ vài tuần lại long ra phải gắn lại.
?Mong muốn của ông khi đến với nha khoa là được ăn nhai bình thường, không đau, không khó chịu.
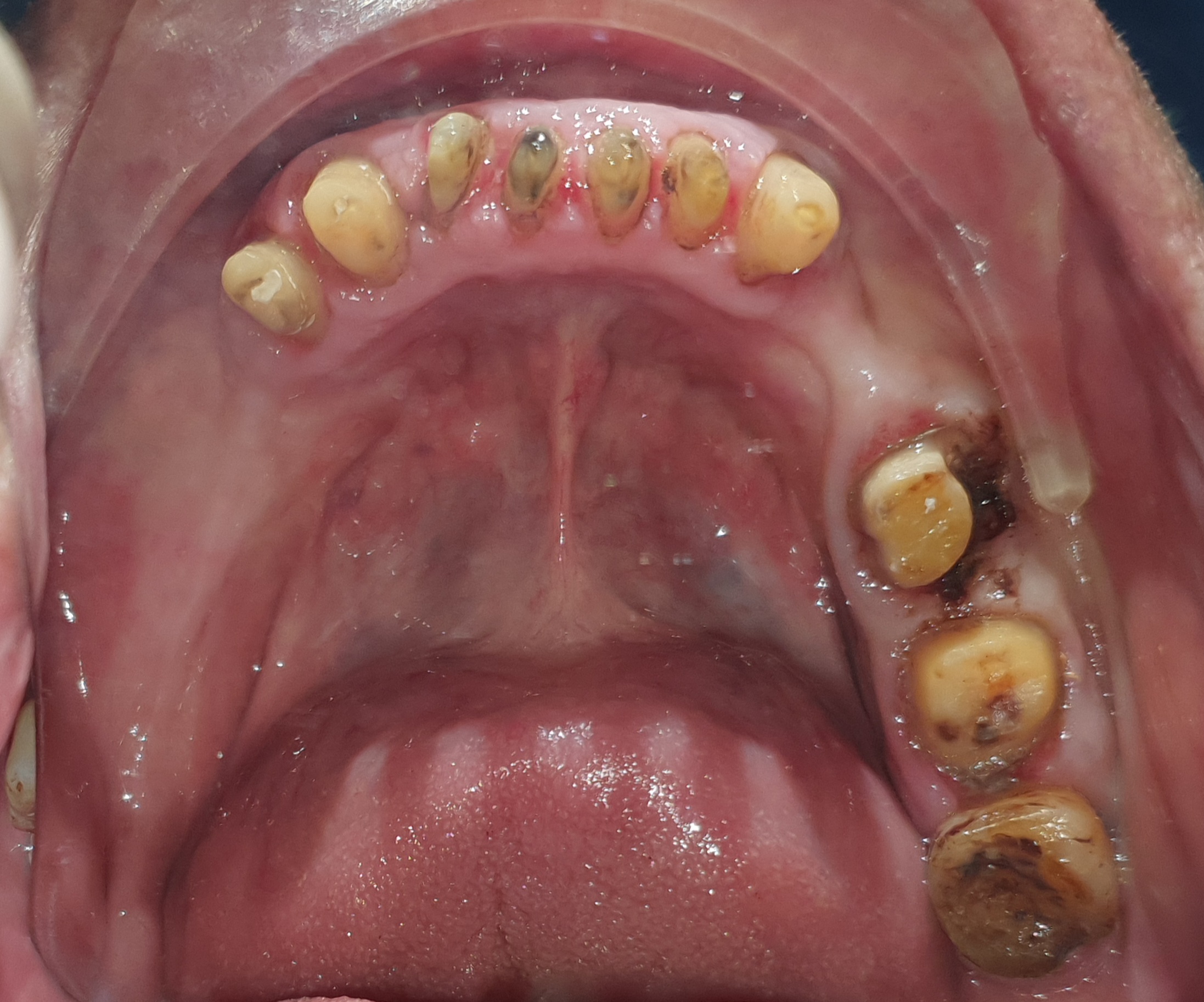
?Qua thăm khám thấy:
– Bị mất kích thước dọc, cắn sâu. Khớp cắn rất nhạy cảm với thay đổi, dù là rất nhỏ.
– Răng sứ hiện tại quá to, và thô, làm dính liền tất cả các răng sứ với nhau, rất khó vệ sinh, dẫn đến viêm nướu nặng.
– Răng thật còn lại thì mòn cổ nặng, có răng nhiễm trùng cần điều trị tủy
-….
Tình trạng răng ban đầu
?⚕️?⚕️Sau khi thăm khám, giải thích kĩ bệnh lý và nguyên nhân. một kế hoạch phục hồi toàn diện được đưa ra, bàn bạc với ông và gia đình. Thật vui khi ông và người nhà hiểu và đồng ý theo kế hoạch được nha khoa đề xuất, thời gian dự kiến hoàn thành là 6 tuần với rất nhiều lần đi lại điều trị.
?Tuy nhiên do ảnh hưởng của dịch Covid, nay hoàn thành điều trị phục hồi cho ông cũng đã gần 9 tuần.
??Chúng tôi thật sự hạnh phúc khi nhìn nụ cười của ông hiện tại, thật an nhiên và thoải mái.
? Không phải chi phí thu được, chính NỤ CƯỜI này mới là phần thưởng lớn nhất cho nỗ lực của nha khoa trong gần 9 tuần vừa qua.
“Your Smile, Our Happiness!”
III/ QUÁ TRÌNH ĐIỀU TRỊ:
1/ Bước 1: thu thập thông tin + chuyển thông tin qua giá khớp bán điều chỉnh
Hình ảnh răng hàm trên và dưới
Chuyển thông tin ghi nhận được lên giá khớp bán điều chỉnh
2/ Bước 2: từ thông tin thu thập được, làm wax-up mô phỏng phục hình sau cùng
Wax-up mô phỏng răng phục hình sau cùng trên mẫu hàm
3/ Bước 3: chuyển thông tin từ wax-up hàm thạch cao lên răng thật bệnh nhân bằng nhựa resin
Răng mock-up trên miệng – đồng thời là răng tạm trong quá trình chờ răng sứ
4/ Bước 4: tiến hành sửa soạn răng, lấy dấu chuẩn bị cho phục hình sau cùng
5/ Bước 5: thử răng sứ, chỉnh lại khớp cắn và thẩm mỹ nụ cười
6/ Bước 6: gắn phục hình sau cùng

7/ Nụ cười của ông sau khi hoàn tất điều trị:















